Is Cicaplast Baume B5 Good For Acne

Is Cicaplast Baume B5 Good For Acne. 100ml La Cicaplast Baume B5+ Cream Ultrareparateur Repairing Soothing Balm Nourishes And Can you please share your experiences with Cicaplast Baume you have used it all over long term, and especially if you are acne prone? Did it increase breakouts for you (particularly clogged pores?). Additionally, the Cicaplast Gel B5 also contains anti-inflammatory and anti-acne zinc, making it a good option for those dealing with acne

100ml La Cicaplast Baume B5+ Cream Ultrareparateur Repairing Soothing Balm Nourishes And
100ml La Cicaplast Baume B5+ Cream Ultrareparateur Repairing Soothing Balm Nourishes And from www.alibaba.com

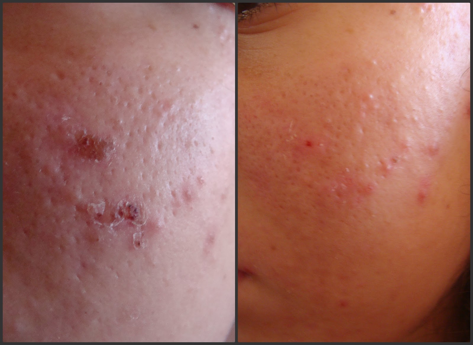
Skincare routine for acne-prone oily skin Skincare routine for acne-prone sensitive skin Later I discovered that my skin barrier was damaged and pimples were only a symptom of it I find that I produce more oil with oil free gel based moisturizers

100ml La Cicaplast Baume B5+ Cream Ultrareparateur Repairing Soothing Balm Nourishes And

In this article, I will compare La Roche-Posay's Cicaplast Baume B5 with their Effaclar Duo Spot Treatment and decide which one is better for acne. In this article, I will compare La Roche-Posay's Cicaplast Baume B5 with their Effaclar Duo Spot Treatment and decide which one is better for acne. Even though I have oily skin, I've always stuck to creamier and richer moisturizers because sometimes there's a reason for the oil production.

Cicaplast Baume B5 Plus for Irritated Skin La Roche Posay. Additionally, the Cicaplast Gel B5 also contains anti-inflammatory and anti-acne zinc, making it a good option for those dealing with acne If you've scrolled through the app lately, you might be familiar with one of the latest cult favorites by La Roche-Posay: The Cicaplast Balm B5

100/40ml Cicaplast Baume B5 Moisturizer Sunscreen Multieffect Repair Cream Acne Scar Remover. However, one of the key ingredients missing in the Cicaplast Gel B5 is shea butter, which is present in the Cicaplast Baume B5. I've been getting cystic acne on my chin, jaw, cheeks and neck and I've seen some people complain about LRP's Cicaplast causing this